組織影像與空間生物分析
高通量組織細胞影像與AI智慧空間分析,解析複雜生物組織的細胞互動與分佈模式

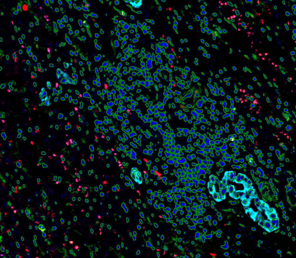
TissueFAXS® 組織細胞影像分析儀
高通量全自動組織切片掃描與分析系統
全自動化掃描
支援120張載玻片自動載入,24/7無人值守運作,大幅提升實驗效率
多光譜成像
集合明場、螢光、共聚焦及多光譜成像,支援最多10個標記同時成像
高解析掃描
從低倍到油鏡100倍,亞細胞級解析度,完整保留組織形態資訊
智慧工作流程
AI輔助組織識別、自動對焦、一鍵式掃描模板,簡化操作流程
TissueFAXS 第8代技術突破
TissueFAXS第8代系統整合了最新的AI影像識別技術,配備高靈敏度sCMOS相機和多色LED光源,支援從組織形態學到分子病理學的全方位分析。系統可同時進行明場H&E染色、免疫螢光、FISH檢測等多種染色技術,為精準醫學和藥物開發提供強大的影像證據。
核心功能特色
- 高通量掃描:SL系列支援120張載玻片連續掃描,適合大型研究計畫
- 多模式成像:明場、螢光、相差、暗場、偏振光等多種成像模式
- 智慧TMA成像:組織微陣列專用工作流程,自動識別和命名每個樣本點
- 共聚焦成像:TissueFAXS Q系列提供高解析度3D組織重建
- 多光譜分析:SPECTRA 系列支援光譜解混,消除自體螢光干擾和串色
- 活細胞成像:倒立顯微鏡系統支援細胞培養皿和孔盤的時間序列成像
- 油鏡自動化:支援100倍油鏡自動加油和清潔功能
- 數據管理:整合Exposé 影像管理和WebViewer遠端瀏覽

StrataQuest® AI影像分析軟體
機器學習驅動的組織病理學影像分析平台
AI深度學習
深度神經網路(DNN)核分割算法,即使在高密度細胞環境中也能精確識別
空間表型分析
細胞鄰近性測量(Cellular Neighborhood)、空間關係分析,揭示組織微環境複雜交互作用
多維數據視覺化
t-SNE、UMAP、SONG降維技術,直觀展示高維細胞表型數據
雙向數據連接
影像與數據圖表即時雙向連接(forward & backward connection),可視化驗證分析結果
StrataQuest 第8代 AI革命
StrataQuest 第8代引入了突破性的機器學習和深度學習模組,只需極少的用戶輸入即可實現高精度的組織分類和細胞識別。系統支援光譜解混、組織檢測、點狀結構分析等多種專業算法,並提供直觀的StrataQuest App界面,讓複雜的影像分析變得簡單易用。
專業分析模組
- 核分割算法:深度神經網路技術,準確分割各種形狀和大小的細胞核
- AI Tissue Classifier:機器學習自動識別不同組織類型和病理特徵
- 流式散點圖:可輕鬆直觀地進行數據品管
- 空間關係分析:量化細胞間距離、密度和分佈模式
- 表型交互作用:分析不同細胞亞群之間的空間關聯性
- Dot Finder:FISH、CISH、RNAscope等點狀信號自動計數
- Network Detection:血管、神經元等網狀結構的自動識別
- Pre-processing Engines:降低影像因染色過程所產生的誤差干擾,獲得更精準的數據

mIHC TSA Kits 多重免疫組織染色套組
高效能酪胺酸信號放大多重染色解決方案
High-content Data
一次實驗檢測可標記 4~10個Marker,大幅提升檢測效率和資訊量
信號放大技術
TSA 信號放大技術,提升微弱信號檢測靈敏度100倍以上
彈性的染色配置
可選用市售任一品牌的抗體,且不受到一抗和二抗的來源限制
標準化流程
完整的實驗流程和品質控制,確保結果的可重現性和一致性
TSA技術創新優勢
TSA (Tyramide Signal Amplification) 酪胺酸信號放大技術是多重免疫組織化學的金標準方法。我們的mIHC TSA Kits整合了最新的信號放大化學、抗體剝除技術和多色螢光標記系統,能在保持組織形態完整的前提下,實現10種標記的同時檢測,為腫瘤免疫微環境和細胞表型分析提供前所未有的技術支持。

Microvisioneer® 全玻片數位掃描系統
入門款病理影像數位化平台
超高解析度
支援PlanAPO 高解析度掃描,完美保留組織形態學細節
輕鬆升級
市售所有三眼顯微鏡都可安裝,透過直觀的掃描方式,人人都可以輕鬆上手
SVS 檔案格式
通用各家免費閱片軟體及雲端病理庫,上傳分享好輕鬆
手動/ 電動隨你選
手動操作僅需要移動載台,成像視野即在掃片;電動則透過電動載台進行掃描與軟體演算對焦點
Microvisioneer創新技術
Microvisioneer結合了先進的光學系統、高精度機械平台和智慧影像處理技術,為病理實驗室提供簡易的數位化解決方案。系統支援多種染色類型的快速掃描,能提供高品質的數位影像,大幅提升病理工作的效率和準確性。
AutoWSI 電動核心功能
- 高速線掃描:採用先進線掃描技術,掃描速度比傳統面掃描快5倍
- 多重染色支援:相容H&E、IHC、IF、FISH等各種染色類型
- 自動對焦系統:智慧對焦算法確保整片組織清晰成像
- 批次處理:支援多張載玻片連續自動掃描
- 品質控制:即時影像品質監控和自動重掃功能
- 標準格式輸出:支援多種國際標準影像格式
- 遠端存取:基於Web的瀏覽器,支援跨平台存取
- LIMS整合:與醫院資訊系統無縫整合
核心應用領域
組織影像與空間生物分析技術在生醫研究與臨床診斷的廣泛應用
















